See our real smile transformations!
We are so proud of the exceptional results we have achieved for our valued patients at Confidental. Have a look at some of our past cases below and discover some of the stories behind each beautiful and unique smile. Feeling inspired? Take the first step towards your perfect smile by booking your consultation today!
Composite Bonding
Olivia was congenitally missing upper lateral incisor teeth and had always wanted to get her smile fixed. Following a fall on concrete which broke her front teeth, she decided to get composite bonding to correct her smile.

This patient had composite bonding to close the small gap between their front teeth.

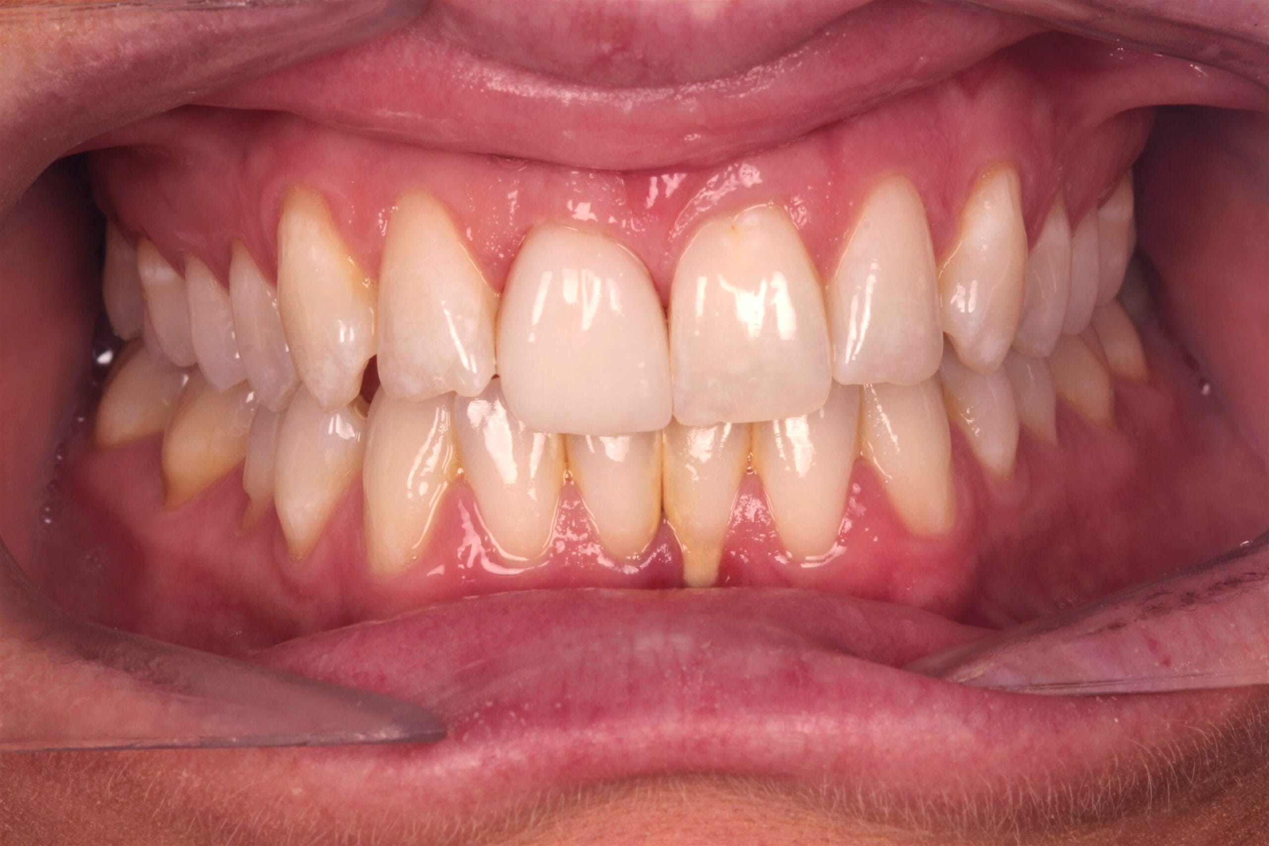
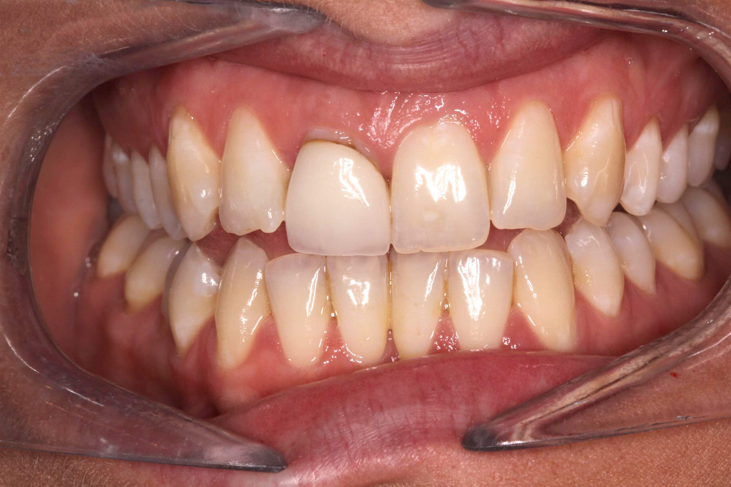
This patient had an emergency tooth repair using composite bonding at a cost of £200.

This patient had composite bonding completed on their upper six front teeth in just one visit to the practice!

Invisalign treatment
Before Ian started Invisalign treatment to straighten his teeth, he had two dental crowns fitted. He was delighted with the results of his smile makeover journey.

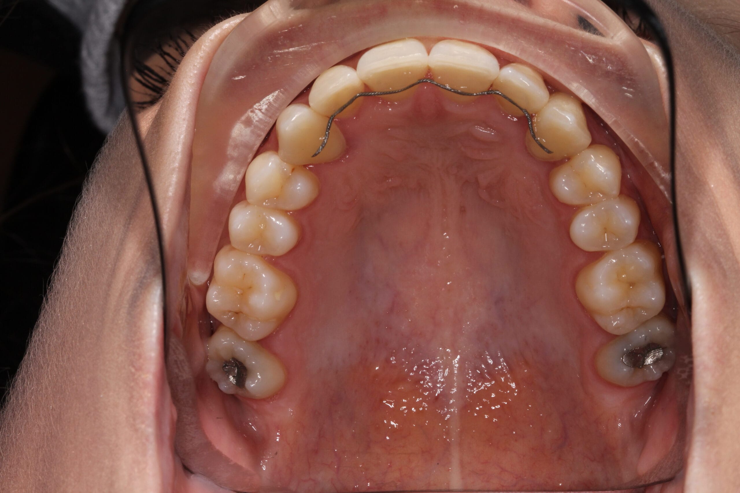
Karen chose to have Invisalign treatment to straighten her teeth in a discreet way.

Helen completed her Invisalign treatment journey at Confidental and achieved lovely straight teeth and a winning smile!

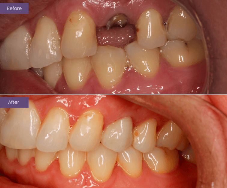
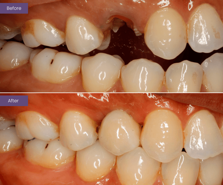
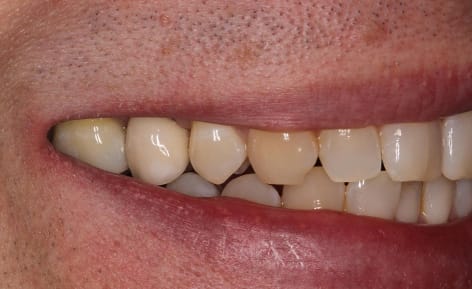
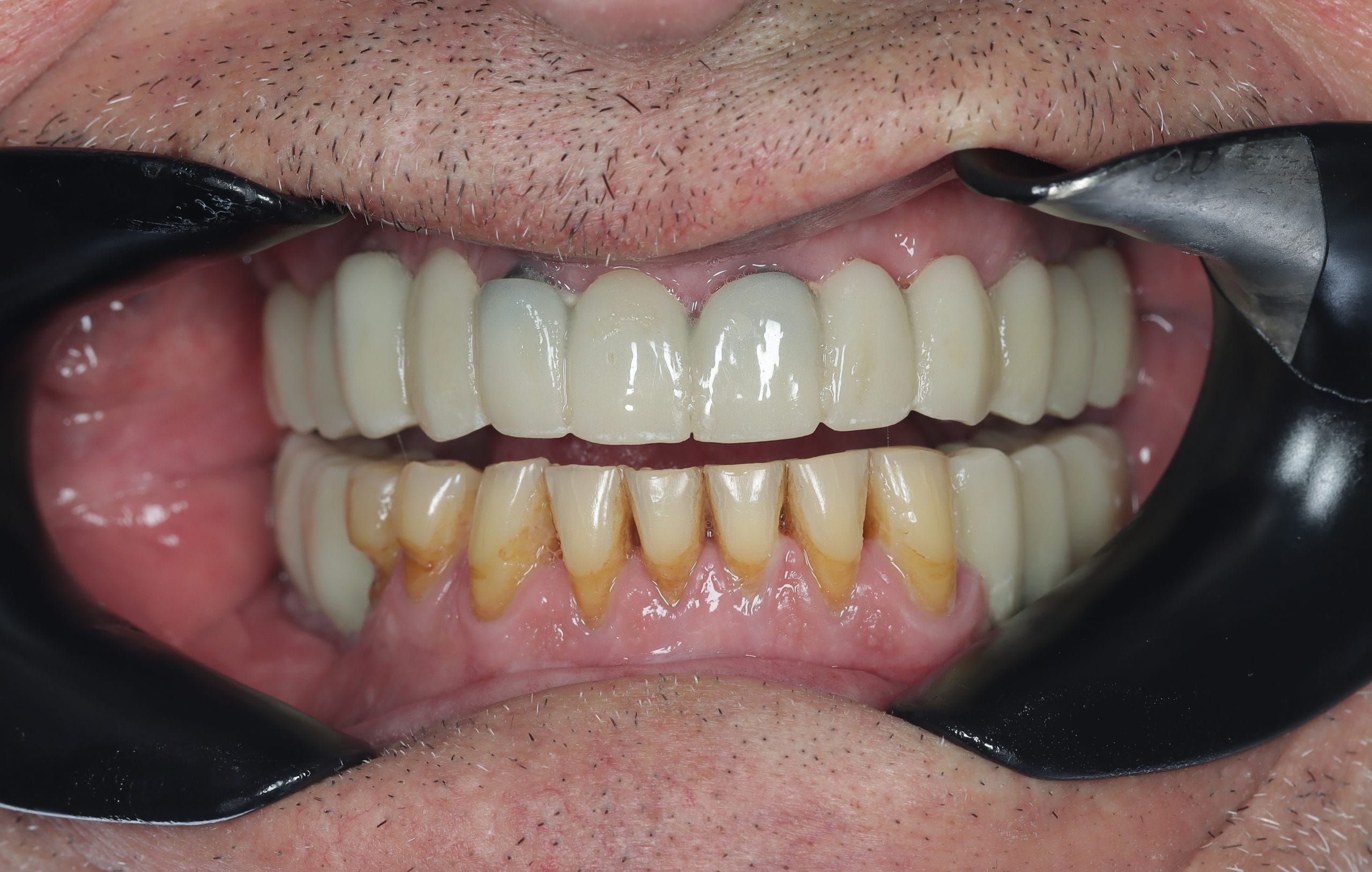
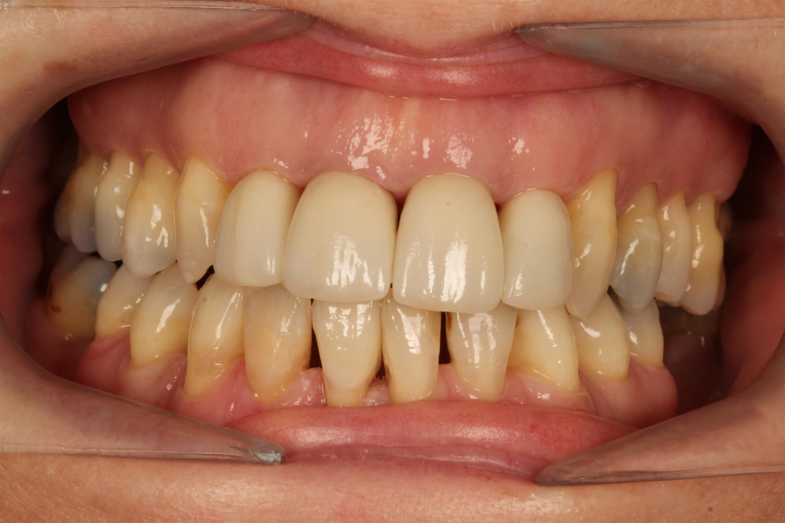
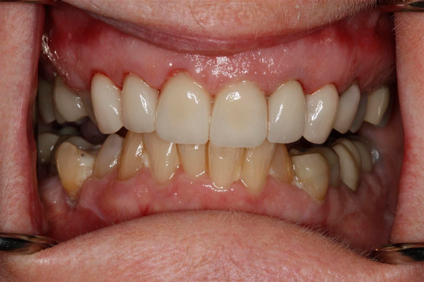
Dental Implants
Roy had full arch upper and lower implants to rebuild his smile - just look at the transformation! Dental implants have not only enhanced Roy’s appearance, but have also improved the way he eats and speaks, with life-changing results.

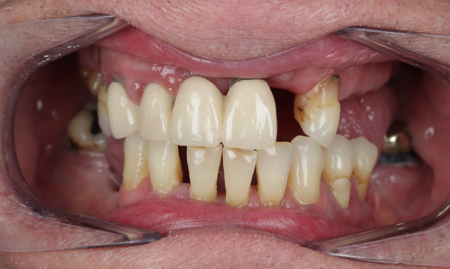
Nick chose a new dental implant to fill the gap in his smile.

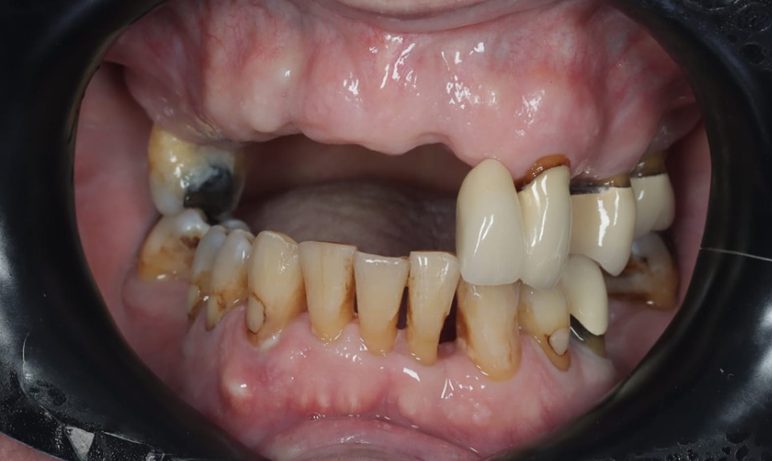
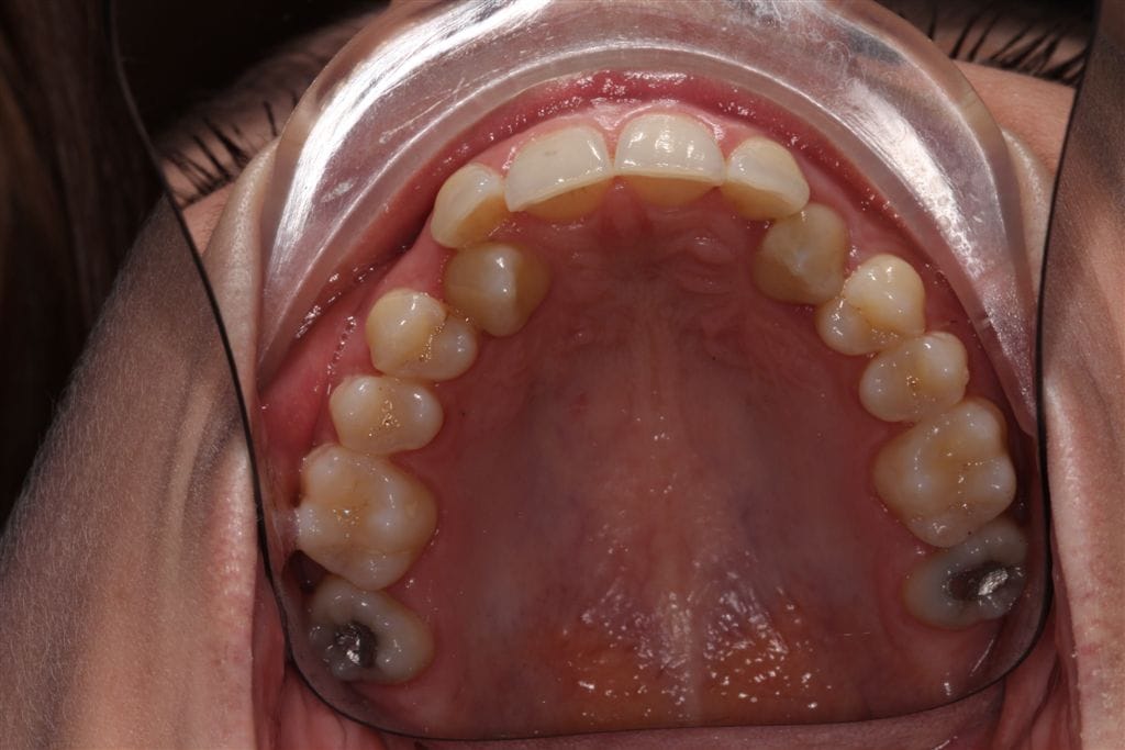
This patient received full mouth implants.

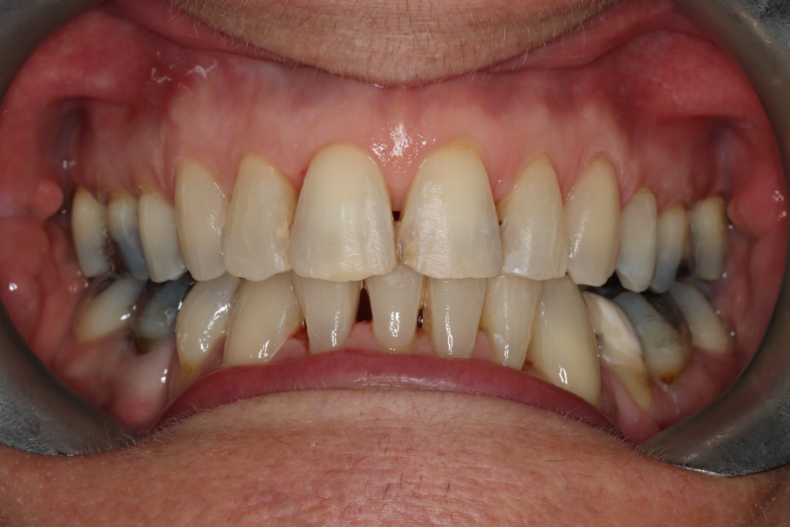
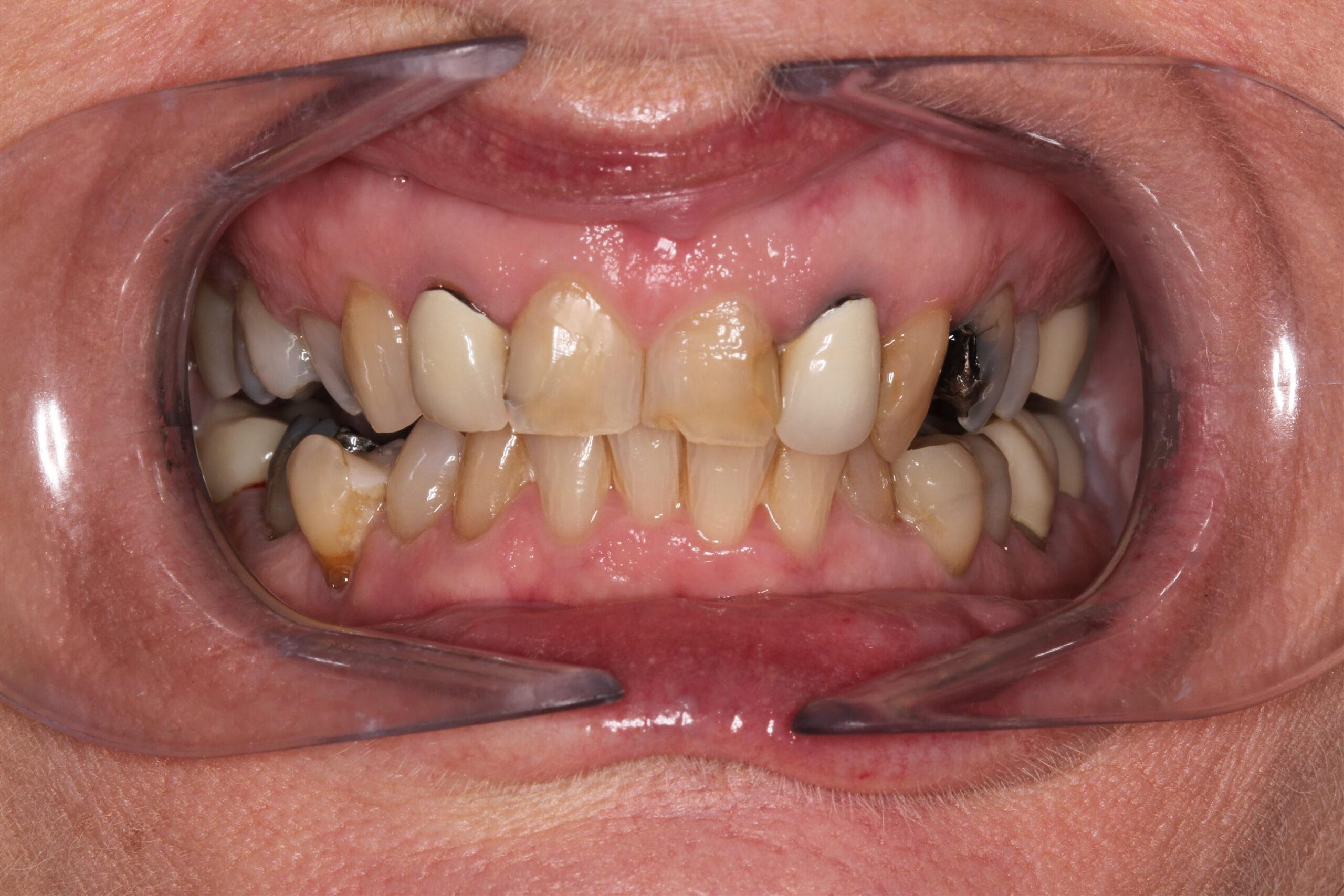
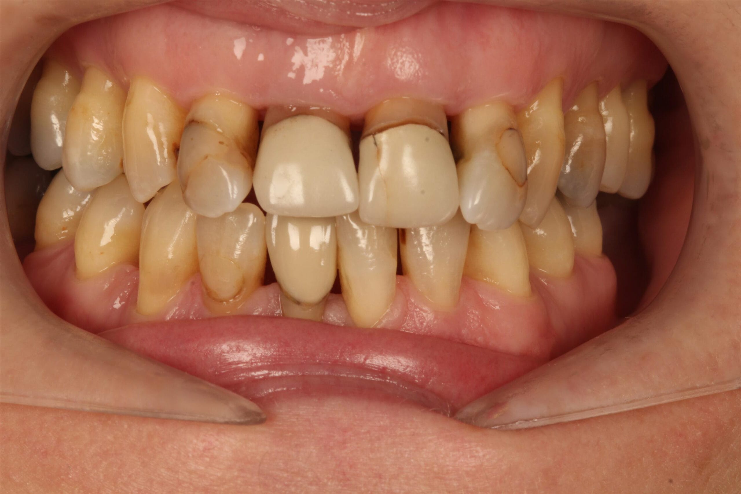
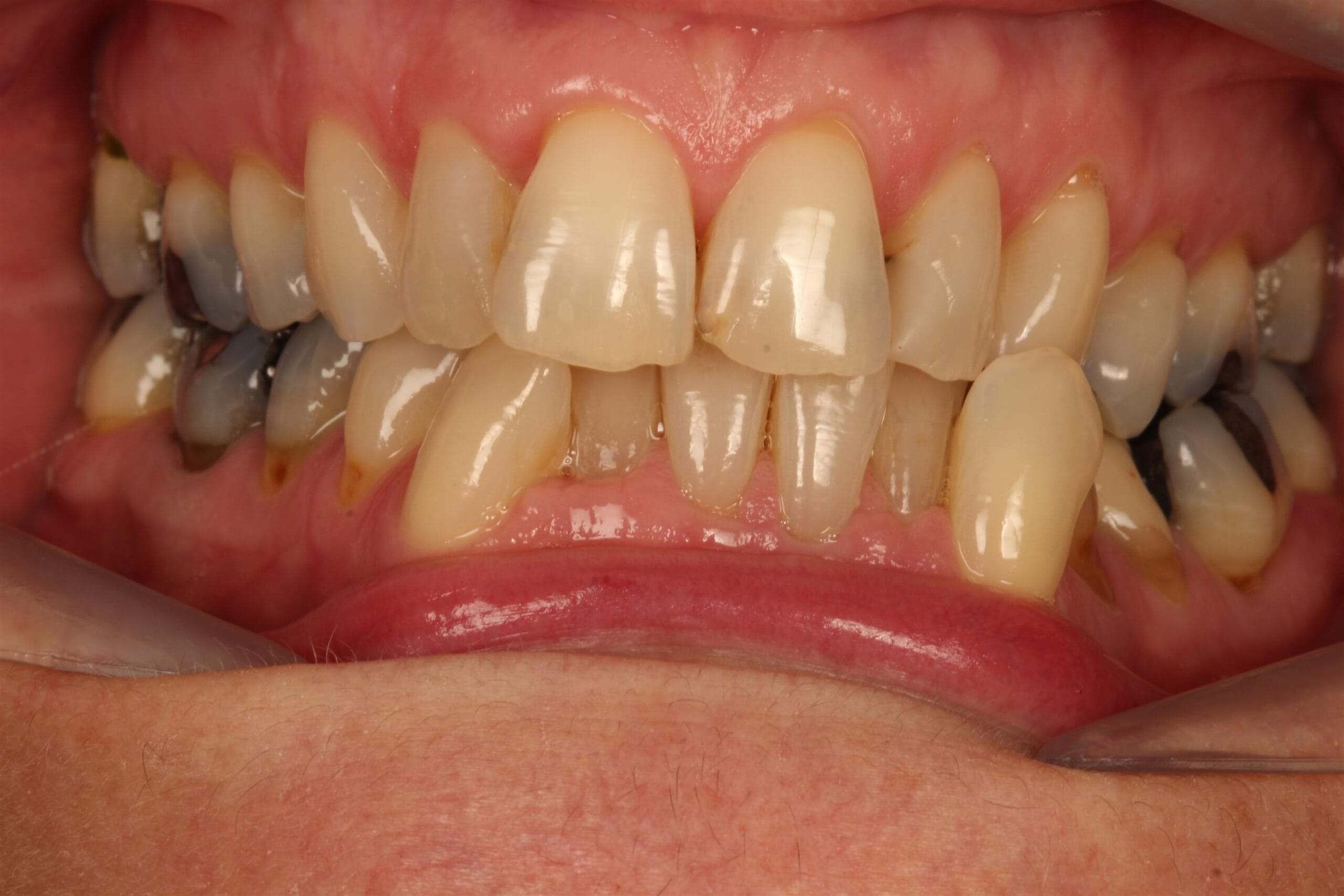
David spent 12 months and £6000 to transform his smile. We removed two infected teeth and fitted one implant. We rebuilt the upper six front teeth to make space for the implant and repaired two back teeth with crowns.

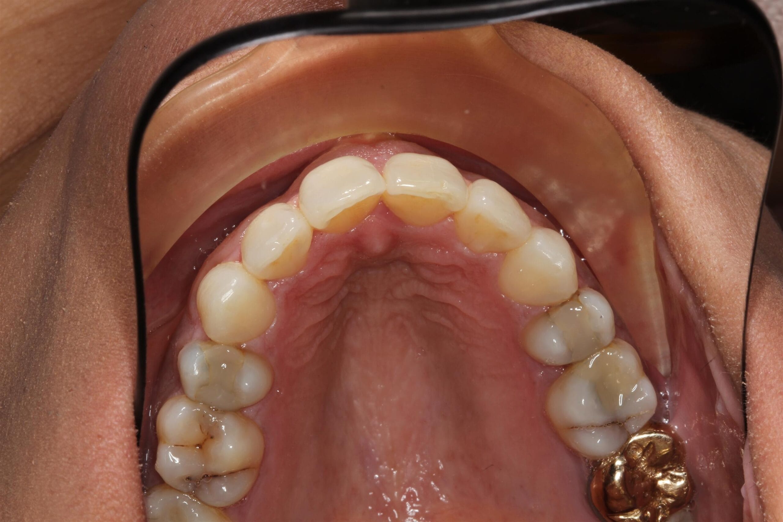
Ronald spent six months in treatment for a tooth removal and immediate placement. He also had a temporary bridge with a dental implant upper right. His treatment cost a total of £2925.

This patient received full mouth implants.

Single-tooth implant at £3000 for the whole treatment

Single-tooth implant case 12 months start to finish

Smile Makeover
Emma had teeth straightening and composite bonding to achieve a beautiful cosmetic smile makeover.

This patient had composite bonding and teeth whitening to repair and enhance their chipped front teeth. A beautiful new smile at a cost of only £1047.

Julie had upper and lower teeth straightening over six months. She also had composite bonding to repair her upper right front tooth with an exceptional outcome. Her total cost was £3750.

Veneers
This patient had dental veneers to transform the appearance of their front teeth.

Teeth Whitening
This patient had Enlighten whitening, using a combination of a two-week at-home course of whitening followed by a one-hour in-chair appointment. The patient was very happy and the results speak for themselves! Going from A3.5 to B1 is an 11 shade jump and a fantastic result.
















