header image

SmileFast

Make your dream smile a reality with cost-effective SmileFast

Fast

Your beautiful new smile can be fitted in a single appointment with immediate results!

Predictable

The digital design process ensures your new smile is exactly as you imagined.

Cost-effective

Achieve your dream smile at a lower cost than other cosmetic options.

Pain-free

Your entire SmileFast journey is minimally invasive and comfortable.

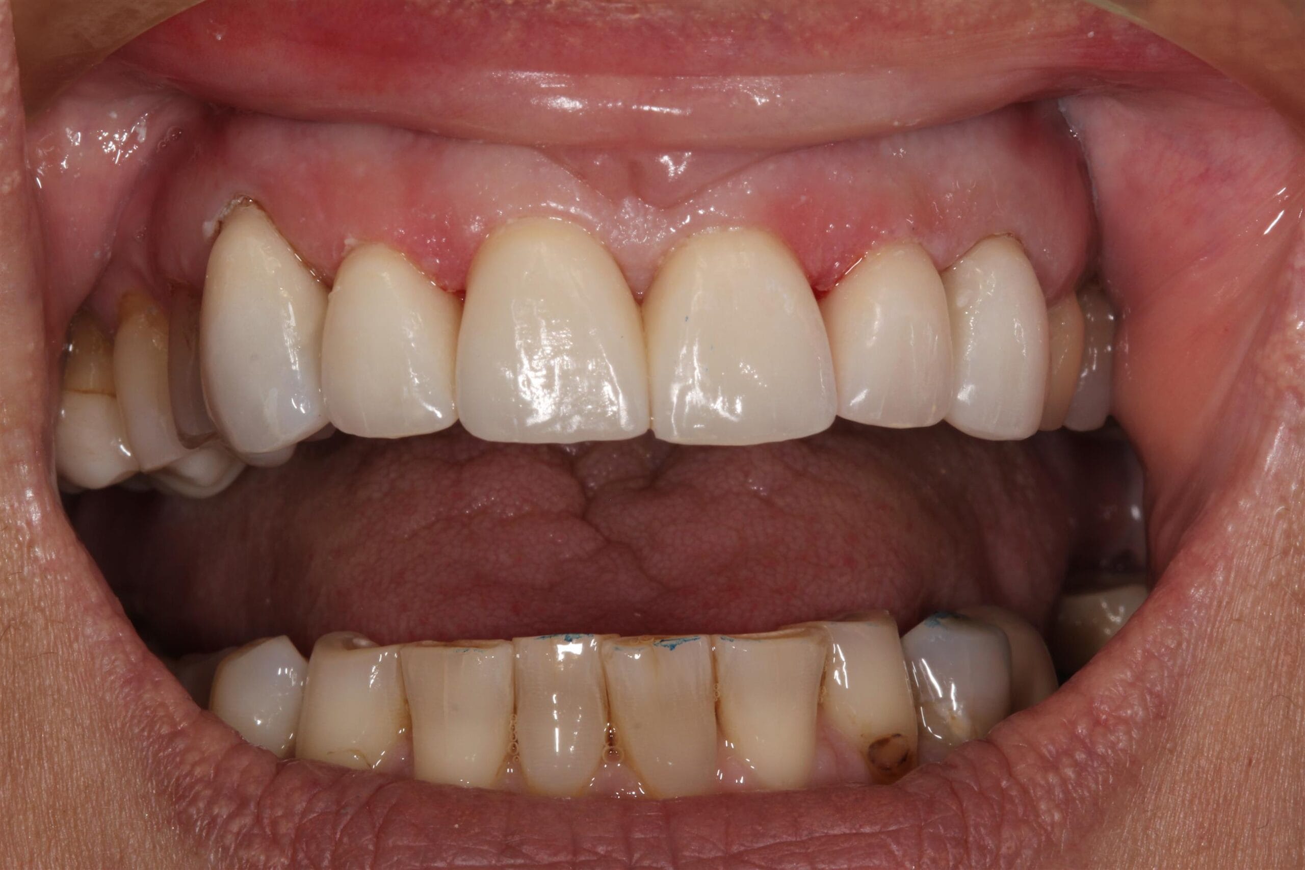
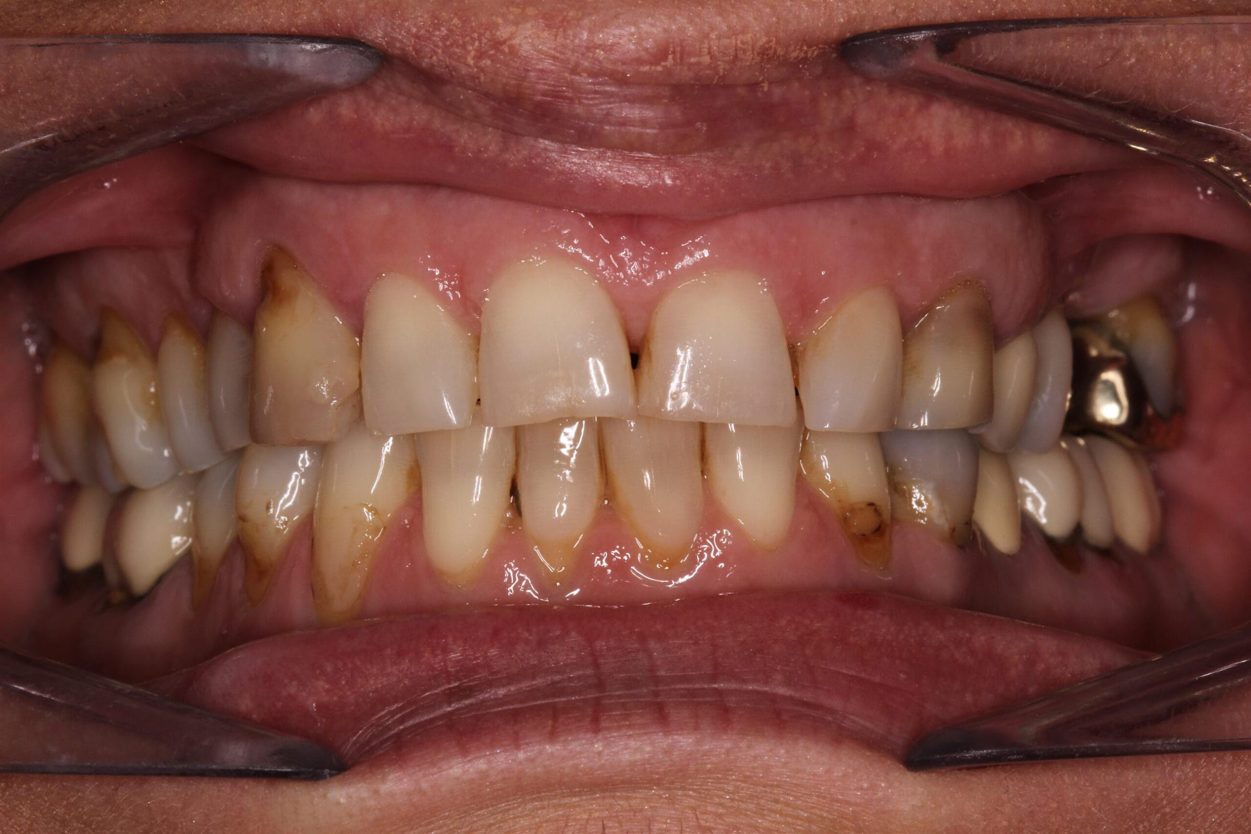
Our SmileFast results

We’re proud to have helped so many patients achieve their dream smiles with bespoke and predictable SmileFast treatment. Are you ready to change your smile and boost your confidence? Contact us to book your first appointment today!

See more smile makeovers
Before After

Why choose Confidental for your SmileFast journey?

  • State-of-the-art digital techniques for incredible results
  • Interest-free and interest-bearing payment options available
  • Evening appointments available until 8pm for your convenience
  • Friendly and welcoming team who put you first

What is SmileFast?

SmileFast is an innovative cosmetic dental system which allows you to design and test your dream smile and see it come to life! Our digital systems ensure your end result is just as you envisioned, with high-quality instant composite veneers for a flawless finish.

As the name suggests, SmileFast is a quick smile makeover option, able to give you a new, confident look in just one appointment. Once you’re happy with the design of your new smile, the trial version of your smile is physically placed over your teeth to make sure it is perfect before the final one is fitted.

Spread the cost of SmileFast

Our finance options, arranged via Chrysalis, can give you the chance to spread the cost of your SmileFast treatment over monthly payments, subject to status. Please get in touch with our friendly team for more information.

Find out more

Meet our SmileFast team

Meet the dedicated team of dentists committed to your oral health.

Sandeep qualified from Barts & The Royal London Dental Institute London in 2006. After graduating, he worked in hospitals and practices in Basingstoke, Uxbridge, Southampton, Central London, before settling in Sandhurst at Confidental.

Deepak qualified from Guy’s, King’s and St Thomas’ College, London with Honours. He has passed additional qualifications with the Royal College of Surgeons as well as a diploma from the world renowned Eastman Dental Institute in London.

Vishal qualified from Guy’s King’s and St Thomas’ Dental Institute, London. He carried out his vocational training in the East of England scheme before starting his associate position at Confidental.

Read the team bios

Our SmileFast treatment steps

Step 1: Consultation

Your SmileFast journey begins with a consultation with one of our experienced dentists. We ask you to tell us about your ideal smile and assess your teeth to make sure you are suitable for treatment. We explain the SmileFast process and give you the chance to ask any questions.

Step 2: Design

Using our advanced digital technology, we work closely with you to design your perfect smile. Our innovative software takes digital scans and images of your teeth which allow us to show you how your new smile could look.

Step 3: Trial smile

Once you’ve approved the design of your new smile, we trial it out in your mouth! We use temporary material to physically place your proposed smile over your current teeth so you can see how it looks in real life. We make any necessary final tweaks and adjustments to ensure an incredible result.

Step 4: Your new smile

We fit your brand new smile in a single appointment, using pain-free and natural-looking composite veneers. After this, all that’s left is for you to start showing off your digitally designed dream smile!

Frequently asked questions

What are the requirements for SmileFast treatment?

SmileFast is generally best suited to adults who want to change the appearance of their smile and fix issues such as gaps between teeth, minor crowding, discolouration or worn teeth. It is most effective for mild to moderate cosmetic concerns and a healthy underlying dental structure is key for the best results.

How does SmileFast compare to traditional braces?

SmileFast focuses purely on cosmetic concerns and the aesthetics of your smile, rather than correcting problems with your bite and function as well. It is significantly faster than orthodontic treatment and gives immediate results, rather than the months and years traditional braces can take.

How long does SmileFast treatment take?

One of the best things about SmileFast is how quickly we can transform your smile! The treatment can often be completed in just a couple of appointments, and sometimes just one visit to the practice. The exact duration will depend on your individual case and we are happy to give you an estimated time at your consultation.

What are the potential side effects or risks associated with SmileFast?

SmileFast composite bonding is a safe and effective cosmetic dental procedure, but there are a few things to be aware of. You may experience some sensitivity after the treatment, but this is temporary and will fade quickly. Your SmileFast veneers can chip or break if they are not cared for properly, so make sure you keep up with a great oral hygiene routine at home and follow our advice. We provide you with detailed aftercare instructions to minimise any risks and keep your smile looking its best for years to come.

What are the benefits of the SmileFast process?

SmileFast is predictable, minimally-invasive and bespoke. It is a very cost-effective way to transform your smile with an accurate digital design and high-quality composite veneers.